外来受診のご案内
血管ドック
あなたも血管の健康管理をしませんか?

血管ドックでは、あなたの心臓や身体の血管、また肺や肝臓などの臓器を専門的にチェックすることができます。特に、心筋梗塞などの予防に力を発揮します。
当院には血管ドックと簡易血管ドックの2つのコースがあります。
50歳以上の方で高血圧・脂質異常症・糖尿病などの危険因子がある方や、血管疾患をお持ちのご家族がいる方は、是非とも当院の血管ドックをお受けになることをお勧めいたします。
血管ドックについて
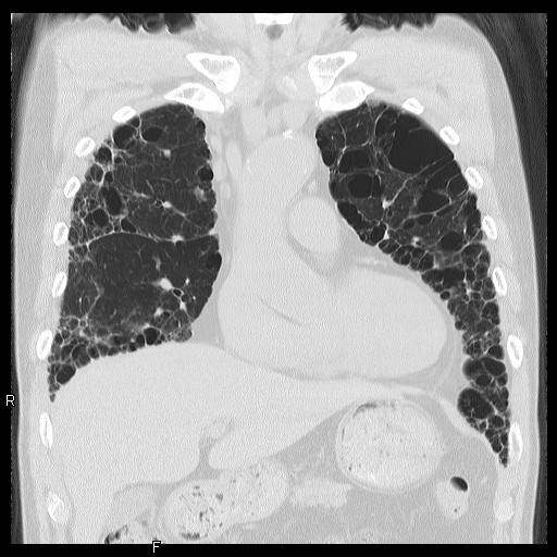
血管ドックの目的は、自覚症状がない段階で心臓や身体の血管、肺や肝臓などの臓器の病気を発見し、病気あるいは、その進行を未然に予防しようとすることです。CT検査は主に、動脈狭窄や動脈瘤などの血管性病変の発見、胸腹部臓器の悪性新生物などの腫瘍性病変の発見に有用です。

血管ドックで調べる血管・臓器
血管
- 冠動脈(心臓の動脈)
- 上行大動脈・大動脈弓・下行大動脈・腸骨動脈などの身体の動脈
動脈狭窄(血管が細くなる)や動脈瘤(血管にできた瘤)などの血管性病変
臓器
- 肺・肝臓・胆嚢・膵臓・腎臓などの胸膜部臓器
悪性新生物(がん)などの腫瘍性病変
導入機器

当院では320列CT装置による冠動脈CT、体幹部CTを行っています。
検査中に約10秒程度の「息止め」を数回していただきます。検査時間は前処置に60分~90分、撮影に20分程度かかります。
注意事項
- 造影剤を使用するため、腎機能の悪い方は検査ができない場合があります。
- 不整脈のある方は検査ができない場合があります。
- 造影剤のアレルギーのある方は事前にお知らせください。
検査内容
血管ドック
◆料金:55,000円(税込)
- 身長・体重・腹囲・血圧
- 視力
- 頚動脈エコー
- 冠動脈CTA
- 体幹部CT
- 体幹部CTA
- 心電図
- 胸部X線
- 採血検査(クレアチニン)
- 脈波図
- 肺癌検診(CT)
プレミアム血管ドック
◆料金:65,000円(税込)
- 身長・体重・血圧・腹囲
- 視力
- 聴力
- 冠動脈CTA
- 体幹部CT
- 体幹部CTA
- 骨密度測定
- 血液検査・尿検査
- 心電図
- 便潜血
- 胸部X線
- 脈波図
- 眼底検査
- 頚動脈エコー
- 内臓脂肪測定(CT)
- 肺癌検診(CT)
脳ドック + 血管ドック
◆料金:80,000円(税込)
- 身長・体重・血圧・腹囲
- 視力
- 聴力
- 頭部MRI
- 頭部MRA
- 頚部MRA
- 頚動脈エコー
- 眼底検査
- 長谷川式簡易知能評価
- 胸部X線
- 心電図
- 血液検査・尿検査
- 骨密度測定
- 便潜血
- 脈波図
- 冠動脈CTA
- 体幹部CT
- 体幹部CTA
- 肺癌検診(CT)
- 内臓脂肪測定(CT)
オプション
※血管ドックには、肺癌検診(肺CT検査)が含まれます。
実施日
毎週木曜日
事前検査(第2・第4金曜日)も含め複数回の来院が必要となります。
ご注意
当院は外来診療(一般診療)を行っております。急患・緊急検査等で若干お待ちいただくことがございますので、ご了承下さい。
検査結果
血管ドックの結果は、約4週間後に説明させていただきます。
ご希望の方には結果報告書を郵送いたします。
血管ドックで発見される主な病気
冠動脈狭窄


腹部大動脈瘤


甲状腺腫瘍

肺がん


慢性間質性肺炎・肺気腫


前縦隔腫瘍


脂肪肝

胆石


肝のう胞


腎結石・尿管結石


お問い合わせ
詳しくは、本館1階受付窓口にお尋ねいただくか、お電話にてお問い合わせ下さい。
五日市記念病院
代表 TEL:082-924-2211(平日8:30~17:30)