病院紹介
320列CT

320列マルチスライスCTの一番の特長は、世界一広範囲の撮影を可能とした320列面検出器を搭載することで、従来のマルチスライスCT装置に比べ、検査時間が飛躍的に速く、しかも身体の内部をより細く検査することが可能です。
心臓の冠動脈や脳・頚部血管疾患の診断に威力を発揮します。
320列エリアディテクターCTとは

320列エリアディテクターCT装置は2007年11月に北米放射線学会(シカゴ)で発表されたCT装置です。
この320列マルチスライスCT装置はエリアディテクターCT装置と言われており、0.5mm×320列=16cmの広範囲を一度に撮影できるパフォーマンスを持った装置です。
この撮影範囲:16cmを使用すれば、頭部や心臓をはじめ、臓器でも1回転の撮影で検査を終えてしまいます。心臓検査は175msecの分解能で、頭部ではダイナミック検査で虚血部位を、さらに臓器では血管の造成・生成を確認して治療方法を、それぞれ確認することが可能です。
放射線被曝(ひばく)も少ない検査ですので、小児や高齢者をはじめ、すべての患者さんにとって負担の少ない、大変有用な検査を実現します。
320列CT3つの特長
わずか0.35秒で16cmの広範囲を撮影

身体の内部を1回転で16cm撮影することができ、かつ、その間隔は0.5mm間隔です。
当院の最新鋭CT装置は16cmを撮影するのに最速でわずか0.35秒。
頭部や心臓をはじめ、全身の各臓器でもあっという間に検査が終了します。
造影剤の注入量は半減、被曝量は1/4

1度に16cmを撮影できるため、従来検査では複数回撮影していた検査でも1回転で終了することが可能になり、撮影時間を短縮できるため、造影剤の使用量を低減できます。
また、放射線被曝も従来と比べ少なく、1/2~1/4程度に低減が可能です。
小児や高齢者をはじめ、すべての患者さんにとって負担の少ない、大変有用な検査を実現します。
臓器全体の機能診断が可能

16cmの撮影範囲を何度も繰り返し撮影することで、今までのCT装置にある形態診断にプラスして、臓器全体の機能診断が可能です。
頭部検査では頭部全体を複数回撮影することで、血液の流れ、さらには脳組織の血流量に基づく全脳での機能評価が可能です。
例えば、急性期脳梗塞へのt-PA療法施行の判断が迅速に行えるなど、早期診断、早期治療が可能になります。
詳しくは担当医師にご相談ください。
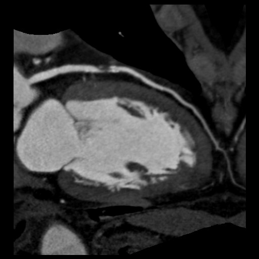
CTで撮影した画像
冠動脈狭窄


腹部大動脈瘤


甲状腺腫瘍

肺がん


慢性間質性肺炎・肺気腫


前縦隔腫瘍


脂肪肝

胆石


肝のう胞


腎結石・尿管結石

